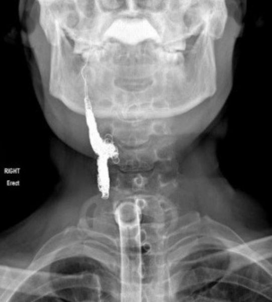
وليد صبري * إجراء 3 عمليات جراحية نوعية ومعقدة* المريض خسر 75% من دمه بعد انفجار الشريان السباتي* الفريق الطبي أجرى قسطرة عاجلة لسد النزيف من الشريان* المريض تعافى تماماً دون مضاعفات أو عودة الورم السرطانيكشف استشاري جراحة الأنف والأذن والحنجرة والمتخصص في جراحة الأذن وجراحة الرأس والعنق بمستشفى الملك حمد الجامعي د. عمر صبرا عن "تمكن فريق طبي كبير ومختص في مستشفى الملك حمد الجامعي من إنقاذ حياة مريض في العقد الخامس من العمر كان يعاني من سرطان الحنجرة، عبر إجراء 3 عمليات جراحية معقدة ونوعية".وأضاف في تصريحات خاصة لـ"الوطن"، "تم علاج المريض بالعلاج الكيماوي والإشعاعي منذ عدة أعوام في إحدى المستشفيات، وقد تلقى العلاج المناسب الذي كان من المفترض أن يخضع له، وبعد سنتين، حدثت انتكاسة للمريض، حيث يوجب في تلك الحالات استئصال الحنجرة وتنظيف الغدد الليمفاوية بالعنق".وقال د. صبرا "قام الفريق الطبي المختص باستئصال الحنجرة والغدد الليمفاوية بـ "تجريف الرقبة"، "وهو الاسم التقني للعملية"، ومن بعد العملية بشهر، وبعد التأكد من التئام الانسجة، وتناول المريض للطعام من الفم بشكل طبيعي، عاود المريض الرجوع إلى المستشفى نتيجة معاناته من مضاعفات لمثل تلك الحالات، حيث انفجر الشريان السباتي الذي يتوجه للمخ، فيما تعد تلك المضاعفات من المضاعفات النادرة جداً التي تودي بحياة المريض في الكثير من الحالات، بعد جراحات تتلو العلاج بالأشعة، لأنه ثبت علمياً أنه عند إجراء جراحة بعد خضوع المريض للعلاج الكيماوي والإشعاعي تكون الأنسجة ضعيفة جداً، والالتئام يكون ضعيفاً، وبالتالي بدأت الأنسجة تتفتح وحدث انفجار للشريان، وخسر المريض تقريباً نحو 75% من دمه خلال ساعات قليلة جداً".ونوه إلى أن "المريض خضع لنحو 3 عمليات جراحية نوعية، الأولى، كانت جراحة علاجية لاستئصال الحنجرة وتجريف الرقبة، وقد قمت بها، والعملية الثانية، كانت إغلاق نزيف الشريان المنفجر، حيث أدى إلى خسارة نحو 75 % من دمه، وقد أجراها استشاري الأشعة د. وائل إبراهيم، والعملية الثالثة، قمت بإجرائها مع جراح زائر من الخارج يدعى د. مؤمن البشير، حيث قمنا باستئصال منطقة الجلد الملتهبة، وقمنا بترميم الرقبة، حيث تعافى بشكل كامل دون أية مضاعفات أو دون عودة الورم السرطاني مرة أخرى".من جانبه، كشف استشاري الأشعة التداخلية في مستشفى الملك حمد الجامعي، د. وائل إبراهيم، في تصريحات خاصة لـ"الوطن" أن "المريض كان يعاني من نزيف حاد في الشريان السباتي بالرقبة، ما أدى إلى حدوث نزيف حاد في الأنف والفم، وعلى إثر وصول المريض إلى المستشفى، تبين استحالة السيطرة على النزيف بالطرق الطبيعية والعادية فتم نقل المريض إلى قسم الأشعة التداخلية حيث قام الفريق الطبي بعمل قسطرة عاجلة لسد النزيف من الشريان حيث تمت السيطرة على النزيف بالكامل، وقد استغرقت الجراحة نحو ساعة".
{{ article.visit_count }}
"حمد الجامعي" في تصريحات خاصة لـ"الوطن": إنقاذ حياة مريض بسرطان الحنجرة
* إجراء 3 عمليات جراحية نوعية ومعقدة * المريض خسر 75% من دمه بعد انفجار الشريان السباتي * الفريق الطبي أجرى قسطرة عاجلة لسد النزيف من الشريان * المريض تعافى تماماً دون مضاعفات أو عودة الورم السرطاني