هدى عبدالحميد
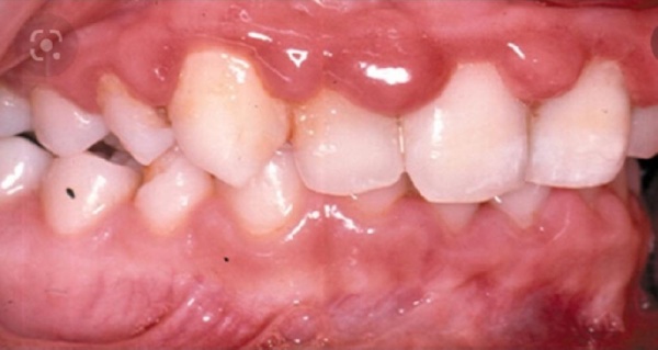
* التهاب اللثة قد يؤدي إلى فقدان أسنانهم * مرض السكري ونقص فيتامين سي المزمن قد يؤدي لالتهاب اللثةأكد طبيب الأسنان د. عمرو الطحان أن لثة الأطفال من جميع الأعمار تتأثر بالعديد من الأمراض، لذلك يجب الاهتمام بصحة أسنان الطفل منذ البداية، وهو لا يزال جنيناً، حتى يصل إلى مرحلة يستطيع فيها الإدراك والتعبير عنها.وأضاف في حوار مع «الوطن» أن من الأمراض الشائعة التي قد تصيب الأطفال مرض التهاب اللثة الذي يمكن أن يسبب ألماً شديداً للأطفال، وهو مرض يتسبب في تحول لثة الأطفال إلى اللون الأحمر أو الأرجواني الداكن.وفيما يأتي نص الحوار:ما هو مرض التهاب اللثة وهل هو شائع عن الأطفال؟ وما هي أعراضه؟- إن من الأمراض الشائعة التي قد تصيب الأطفال مرض التهاب اللثة الذي يمكن أن يسبب ألماً شديداً للأطفال، وهو مرض يتسبب في تحول لثة الأطفال إلى اللون الأحمر أو الأرجواني الداكن، ويمكن أن يتسبب في العديد من المضاعفات الخطيرة، كما أن التهاب اللثة عند الأطفال له العديد من الأعراض والأسباب، وهو مرض بسيط وخفيف حيث يمكن بعدة طرق مختلفة وقاية الأطفال من الإصابة بهذا المرض.ويصنف التهاب اللثة عند الأطفال إلى عدة مستويات، ولكل مستوى أعراضه الخاصة، وتختلف شدة ودرجة الأعراض من فئة إلى أخرى. وسنذكر الفئات الآتية: فئة التهاب اللثة عند الأطفال بسيط أو خفيف، وهذه المرحلة هي بداية أعراض خفيفة جداً، وفئة الأطفال المصابين بالتهاب اللثة الحاد، تتفاقم الأعراض في هذه المرحلة، ويتغير لون اللثة، وقد يكون هناك تورم واضح ونزيف اللثة بسيط.وفئة التهاب اللثة المزمن عند الأطفال هو مرض خطير جداً يحدث في هذه المرحلة تورم وانتفاخ فى اللثة لمدة طويلة دون أن يشعر الطفل بألم في أسنانه أو في اللثة ويمكن أن يسبب نزيفاً في لثة الأطفال، وفئة الأطفال الذين يعانون من انحسار اللثة، وهي المرحلة التي تنحسر فيها اللثة إلى أسفل وتظهر جذور الأسنان، ما قد يؤدي إلى حساسية في الأسنان وأيضاً فقدانها.كيف تلاحظ آلام إصابة الابن بالتهاب في اللثة؟- هناك لأعراض التهاب اللثة التي قد يعاني منها الأطفال. والتي تدل بقوة على إصابة الأطفال بالتهاب اللثة، فلثة الأطفال العادية ضعيفة وتصبح لثة الطفل أكثر حساسية من ذي قبل، لذلك سيشعر الطفل بألم شديد عند لمسها، وعند تناول أي نوع من الطعام، يشعر بألم دائم في اللثة، عند استخدام فرشاة أسنان أو خيط تنظيف الأسنان فإن اللثة عند الأطفال تنزف باستمرار، وقد يتغير لون لثة الأطفال إلى الأحمر أو الأرجواني الداكن، أو تتغير رائحة الفم وتصبح غير مقبولة.الوطن: إلى أي مدى يؤثر التهاب اللثة على سلامة أسنان الأطفال؟- إن الأطفال الذين يعانون من نزيف وتورم في اللثة قد يسبب ذلك مشاكل في الأسنان والفك، حيث تنتقل العدوى إلى دواعم الأسنان، ما قد يؤدي إلى ألم شديد في الأسنان وأحياناً إلى فقدها، وعندما تظهر هذه الأعراض عند الأطفال، يجب أن تذهب مباشرة إلى طبيب الفم والأسنان لتجنب مزيد من المضاعفات.ما هي أسباب تعرض اللثة للالتهاب؟- أسباب تعرض اللثة عند الأطفال للالتهاب عديدة وقد تعود إلى العديد من العادات السيئة، ومن بينها: عدم الاهتمام بنظافة الفم والأسنان للأطفال، فيؤدي غسل أسنانك بشكل غير منتظم كل يوم إلى تراكم طبقة من البلاك على أسنانك ولثتك، وهو السبب الرئيسي لالتهاب اللثة عند الأطفال. كما أن وجود بعض أجهزة تقويم الأسنان يعيق التنظيف الصحيح لأسنان الأطفال، ما يؤدي إلى تراكم البكتيريا وحدوث التهاب اللثة ويمكن أن يعود السبب إلى بعض الأمراض الوراثية التي تؤثر على حالة اللثة عند الأطفال أيضاً وجود فجوات بين أسنان الأطفال، والتي يمكن أن تؤدي إلى تراكم بقايا الطعام، ما قد يؤدي إلى تراكم البكتيريا المسببة لالتهاب اللثة عند الأطفال. قد يحدث التهاب اللثة بسبب ظهور الأسنان الدائمة عند الأطفال في أثناء عملية تبديل الأسنان. وأيضاً بسبب خلع الأسنان الطبيعي أو غير الطبيعي ومن الأمراض الأخرى التي قد تصيب الأطفال: مرض السكري، ونقص فيتامين سي المزمن لدى الأطفال بعض الأطفال الذين يتناولون أدوية معينة فترة طويلة يتسبب ذلك في جفاف الفم، وهو أحد الآثار الجانبية، ويمكن أن يؤدي إلى التهاب اللثة عند الأطفال ومن المرجح أن يعاني الأطفال ذوو الاحتياجات الخاصة من هذا النوع من التهاب اللثة أكثر من الأطفال العاديين؛ لأنهم لا يهتمون بما يكفي لتنظيف الفم والأسنان، ويتجاهل الآباء هذا الجانب المهم فيجب عليهم ضرورة الاهتمام بالتنظيف المستمر للأسنان للمحافظة على صحة الفم الخاصة بالأطفال. أيضاً في العديد من الأوقات يأكل الأطفال كثيراً من المواد السكرية مع كثير من المشروبات الغازية، ما يجعل الأطفال أكثر عرضة للإصابة بتسوس الأسنان والتهاب اللثة.ما هي الآثار الناجمة عن إهمال علاج التهابات اللثة؟- إذا لم تلتفت باهتمام إلى الأسباب التي أدت إلى الإصابة بالتهاب اللثة وأهملت العلاج، فقد يتسبب ذلك في مضاعفات كثيرة لدى الأطفال ويسبب مشاكل أكبر في صحة الفم والأسنان، وقد يستمر نزيف اللثة فترة طويلة، وهذه مشكلة كبيرة؛ لأنها تضعف الأسنان وتسبب فقدانها وقد يصاب الأطفال بالتهاب اللثة التقرحي، ما قد يؤدي إلى ظهور صديد وقيح في اللثة ويصبح هذا الطفل شديد الحساسية للمشروبات الساخنة والباردة، ما يمنعه من ممارسة حياته وأنشطته بشكل طبيعي. وقد تنمو لثة الطفل مرة أخرى وتتضخم وتصبح ملتهبة وتنزف باستمرار، وهو المستوى الذي تتساقط وتنحسر فيه اللثة إلى أسفل وتفقد ارتباطها بالأسنان، ما قد يؤدي إلى فقدان الأسنان.كيف يمكن تجنب مضاعفات الإصابة بالتهاب اللثة؟ وما طرق العلاج؟- يمكن تجنب كل هذه المضاعفات من خلال زيارة الطفل بانتظام لطبيب الأسنان واستشارة الطبيب في حالة حدوث أي تغير في لثة الطفل ويوجد طرق عديدة لعلاج التهاب اللثة، ويتم اختيار هذه الطرق وفقاً لشدة وألم التهاب اللثة عند الأطفال ويصف طبيب الأسنان بعض الأدوية للطفل، وفي حالات بسيطة يمكن أن تخفف هذه الأدوية من التهاب لثة الطفل، أيضاً في بعض الحالات قد يوصي الطبيب باستخدام غرغرة خاصة؛ لأنها يمكن أن تخفف الألم بسرعة، ويمكن للطبيب أن يستخدم طريقة نحت أنسجة اللثة التالفة ويكرر هذه الخطوة عدة مرات على مدار أسبوعين، وفي الحالات الشديدة، قد يقوم الطبيب بكحت اللثة بقوة وحشو مادة خاصة مع استخدام ضمادة بضعة أيام. إذا كان الطفل يعاني من التهاب اللثة المزمن، فيمكن للطبيب قص اللثة بشكل حلزوني ووضع مادة حتى تلتئم مرة أخرى وأخيراً بالإضافة إلى ذلك، يجب على الوالدين اتباع نصيحة الطبيب فيما يتعلق بالعناية بصحة الفم والأسنان؛ فأسنان اطفالكم وصحتها كنز لا يقدر بثمن.
{{ article.visit_count }}
الطحان: الاهتمام بأسنان الأطفال يبدأ منذ مرحلة الأجنة